近日,呼伦贝尔人民医院胸心外科团队成功为一例肺结节患者实施微波消融手术。该手术的顺利完成,丰富了医院肺结节治疗的临床路径,为肺功能脆弱群体提供优质治疗方案。
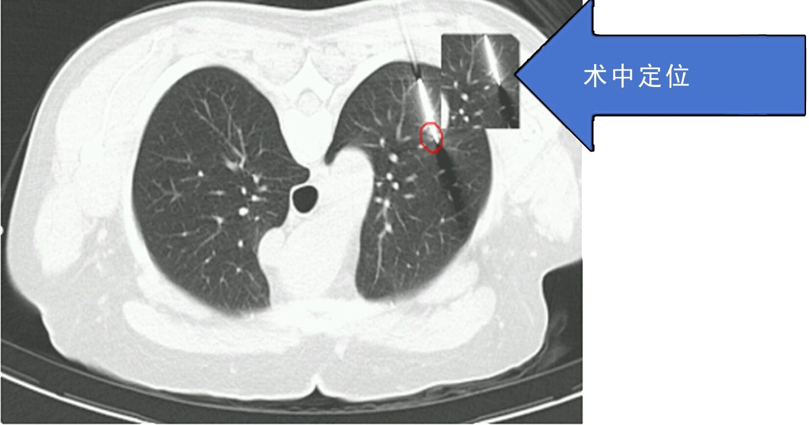
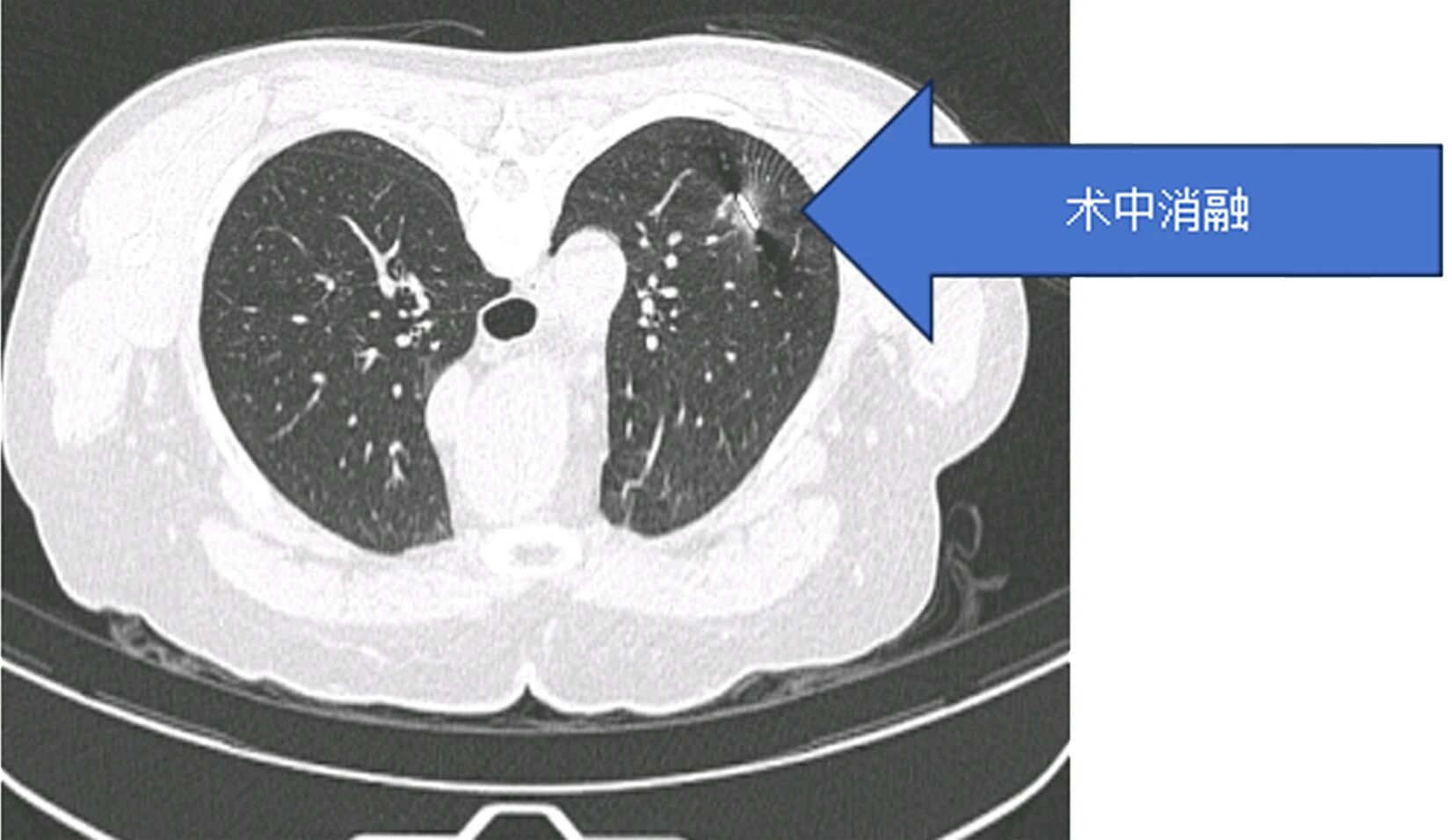
患者因肺结节就诊后,术前检查提示传统手术可能造成较大肺功能损伤,患者及家属因此产生明显焦虑情绪。胸外科团队综合评估病情后,决定采用微波消融技术施治。手术依托CT实时导航技术,将消融针精准送达结节部位,误差控制在3毫米以内,仅通过一个针孔创口完成操作,单次消融过程耗时5-10分钟,患者3天内出院,健康肺组织功能得以保留。
据悉,微波消融技术虽有微创优势,但不能替代传统根治性手术——对于可耐受手术的早期肺癌患者,手术切除仍是临床金标准。该技术更适用于直径≤3cm的孤立性周围型高危小结节、数量≤5个的多发结节患者,以及心肺功能差、无法耐受手术的高龄高危人群,同时可作为拒绝手术者、术后复发或残留结节患者的辅助治疗方案。 技术突破背后,离不开医院完善的硬件支撑与多学科协作机制。术前需经多学科团队(MDT)严格评估,确保患者符合适应症要求。胸心外科始终坚持肺结节治疗“量体裁衣”原则,强调早发现、早干预与规律随访的重要性,未来将进一步探索微创与微波技术的联合应用模式,持续提升肺结节诊疗精准度与患者就医体验。


